HOW TO PREVENT & TREAT GUM DISEASE WITH 3 STEP SMILES

In this feature, we delve into the intricacies of gum disease with the award winning 3 Step Smiles — Liverpool’s private dental clinic that specialises in gum disease and implants. Based on Bixteth Street in Liverpool’s business district, 3 Step Smiles offer top quality dentistry from highly experienced dentists at an extremely competitive price. Here’s what they had to say about gum disease….
FOR A FREE CONSULTATION CALL 0151 808 0120 email info@3stepsmiles.com OR VISIT THE WEBSITE

Introduction
Most adults in the UK have gum disease to some degree, and it’s an issue that many individuals experience at least once in their lifetime. However, it’s much less common in children. If you have gum disease, you may notice symptoms such as bleeding gums when brushing your teeth and persistent bad breath.
At 3 Step Smiles, we understand the significance of addressing gum disease early on to prevent further complications. Join us as we explore what gum disease is, its causes, preventive measures, and how our team can assist you in overcoming it and achieving a healthy, dazzling smile….

Understanding Gum Disease
Gum disease, also known as periodontal disease, is a common yet serious oral health issue. It begins with the inflammation of the gums, often caused by plaque build up along the gumline. If left untreated, it can progress into more severe stages, potentially leading to tooth loss and other complications.
FOR A FREE CONSULTATION CALL 0151 808 0120 email info@3stepsmiles.com OR VISIT THE WEBSITE

Causes of gum disease
Several factors contribute to the development of gum disease. Poor oral hygiene habits, such as inadequate brushing and flossing, allow plaque to accumulate, leading to gum inflammation. Additionally, factors like smoking, hormonal changes, certain medications, and genetic predispositions can increase the risk of developing gum disease.
FOR A FREE CONSULTATION CALL 0151 808 0120 email info@3stepsmiles.com OR VISIT THE WEBSITE

Preventing gum disease
Prevention is key to maintaining healthy gums and avoiding the onset of gum disease. Adopting a thorough oral hygiene routine, including brushing at least twice a day and flossing daily, is paramount. Regular dental check-ups and cleanings enable early detection and treatment of any signs of gum disease. Lifestyle changes such as quitting smoking and maintaining a balanced diet also play a crucial role in gum disease prevention.
FOR A FREE CONSULTATION CALL 0151 808 0120 email info@3stepsmiles.com OR VISIT THE WEBSITE

Introducing Sonda Florida
Upgrade your periodontal exams with Sonda Florida , a leading computerised probing system trusted by professionals for over 20 years. Sonda Florida goes beyond traditional probes, offering a digital solution to measure pocket depth, recession, bleeding, and more.
It creates a digital periodontogram while guiding you through the exam with clear voice prompts. This eliminates the need for manual charting, saving you valuable time and ensuring data accuracy. Experience the efficiency and ease of Sonda Florida in your next periodontal evaluation.
FOR A FREE CONSULTATION CALL 0151 808 0120 email info@3stepsmiles.com OR VISIT THE WEBSITE
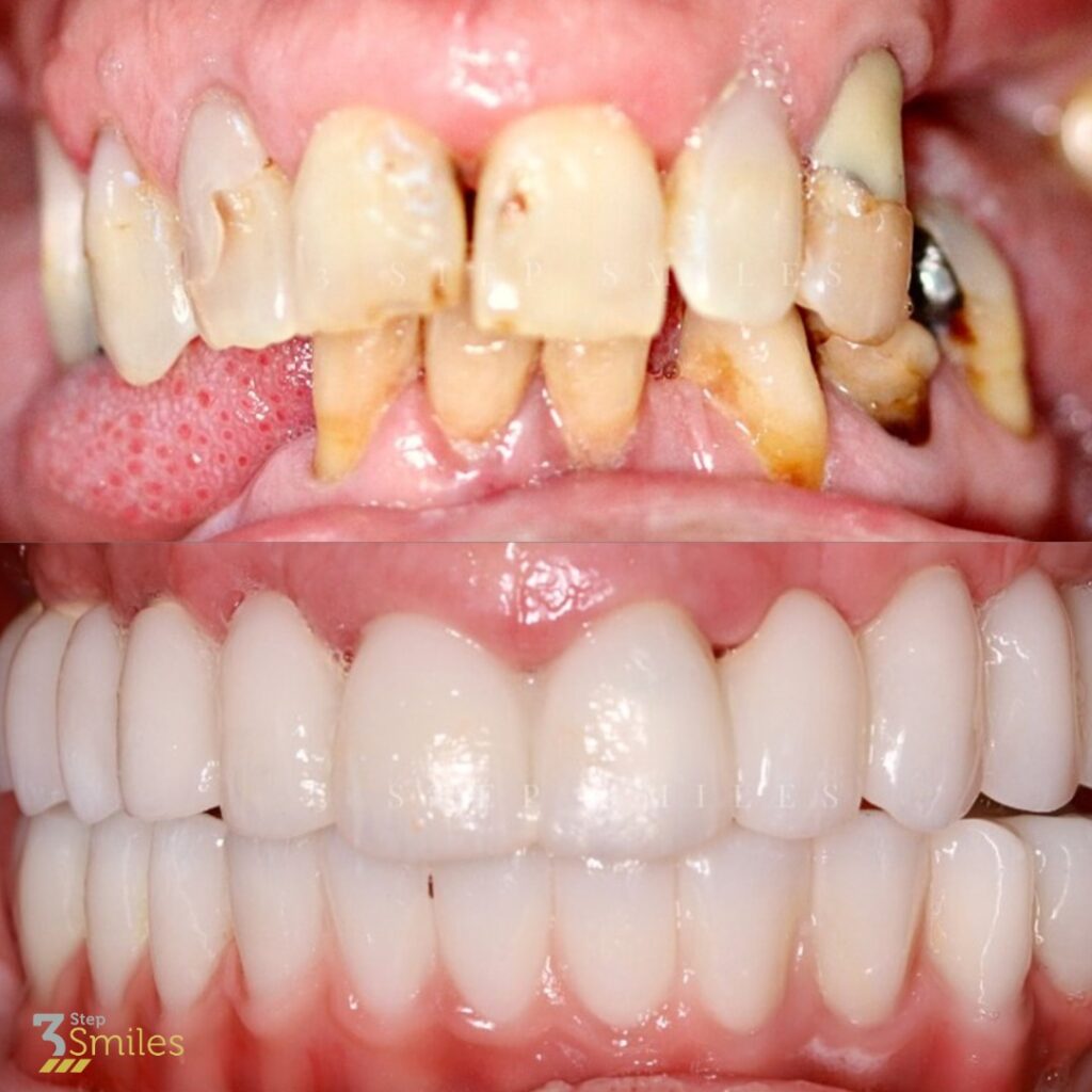
How 3 Step Smiles can help
At 3 Step Smiles, our team of highly skilled professionals specialises in dental implants and periodontics, making us your go-to experts in combating gum disease. We offer a range of advanced treatments backed by years of experience and cutting-edge dental technology. From non-surgical therapies to advanced surgical interventions, we tailor our approach to meet your specific needs and restore your gum health effectively.
FOR A FREE CONSULTATION CALL 0151 808 0120 email info@3stepsmiles.com OR VISIT THE WEBSITE

Bottom Line
Gum disease is a significant oral health concern that requires proactive measures for prevention and treatment. By understanding its causes and implementing preventive strategies, you can safeguard your gums and overall well-being.
At 3 Step Smiles, we’re committed to guiding you on your journey to a healthy, dazzling smile. Contact us today to schedule a consultation and take the first step towards optimal gum health and a radiant smile.
3 Step Smiles / 32 Bixteth Street, Liverpool, L3 9UH
FOR A FREE CONSULTATION CALL 0151 808 0120 email info@3stepsmiles.com OR VISIT THE WEBSITE



